Las imágenes convencionales de resonancia magnética son representaciones bidimensionales de intensidades que ocurren en un determinado nivel o corte. Estas imágenes pueden presentarse en planos axiales, coronales o sagitales. El plano que más frecuentemente se usa en las IRMf es el axial, el cual muestra la localización de las estructuras o activación en un eje X (de derecha a izquierda) y un eje Y (de anterior a posterior). Debido a que estas imágenes, por lo general, se obtienen en planos oblicuos, es difícil saber el nivel preciso en el eje Z restante (cráneo-caudal).
La representación tridimensional nos permite presentar imágenes con apariencia volumétrica. Estas imágenes han demostrado ser útiles como guía en las resecciones quirúrgicas.
Tipos de representaciones tridimensionales
Vistas ortogonales: son la presentación simultánea de una estructura en los ejes X, Y y Z.
Representación de superficie: es la presentación de una estructura como si fuera vista por un observador externo.
Representación tridimensional + Vista ortogonal: es la combinación de las vistas ortogonales y la representación de superficie.
Representación triple: hace referencia a la superposición de 3 procedimientos, como venografía por resonancia magnética (VRM), IRMf y representación de superficie.
Vistas ortogonales
Las vistas ortogonales hacen referencia a un conjunto de imágenes mutuamente perpendiculares. Esto localiza una región determinada de activación en los tres ejes que definen la forma volumétrica del cerebro.
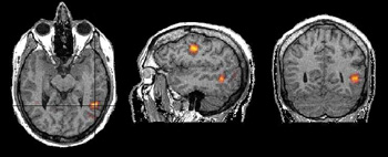
Caso 1
|
Vista axial
|
Vista sagital |
Vista coronal |
|

|
Voluntario adulto que genera verbos. En la vista axial, la ubicación exacta de la activación en el lóbulo temporal es difícil de determinar. Las líneas negras en la vista axial corresponden a la ubicación de las vistas sagital y coronal. Estas tres vistas nos permiten determinar la ubicación de la activación en la circunvolución temporal media.
Caso 2
|
Vista axial
|
Vista sagital |
Vista coronal |
|

|
Paciente adulto de sexo masculino diestro con convulsiones intratables provenientes del polo temporal izquierdo y que realiza una tarea de lenguaje que consiste en escuchar una historia. No se detectaron lesiones estructurales en esta región. Está programada una resección temporal izquierda. Las vistas ortogonales permiten evaluar la extensión de las áreas del lenguaje y la distancia entre su borde anterior y el polo temporal (línea de color anaranjado). El neurocirujano puede usar estos hallazgos como guía para adaptar la resección temporal.
Representación de superficie
La representación de superficie es un método de postprocesamiento en computadora que retira la piel y el cráneo, y nos permite ver la superficie del cerebro. Se muestra la anatomía de las circunvoluciones y los surcos de la misma manera que el neurocirujano ve el cerebro. Pueden superponerse mapas funcionales sobre estas imágenes. Es posible que se produzca cierta activación en la parte profunda de los surcos, la cual puede presentarse en estas imágenes filtrándose a través de la superficie cortical.
Caso 1

Hemisferio derecho en una representación de superficie tridimensional
Joven diestro de 15 años de edad con epilepsia intratable que realiza una tarea de "repetición verbal". La representación de superficie muestra magníficamente la activación que ocurre en el tercio posterior de la circunvolución temporal superior derecha que se extiende hacia la circunvolución supramarginal y el área 7 de Brodmann. Las áreas de activación se muestran mejor que con las imágenes de resonancia magnética bidimensional convencional.
Caso 2
|
Vista lateral izquierda
|
Vista angular izquierda posterior superior |
Niña diestra de 11 años de edad con epilepsia intratable sometida a resección frontal izquierda dos años atrás para control de las convulsiones. La persistencia de las convulsiones dio lugar a este examen de IRMf para una nueva evaluación. Las imágenes demostraron una activación obtenida a partir de una "tarea de generación de verbos". El estudio mostró el área de Broca y parte del área de Wernicke (área 37 de Brodmann), las cuales se cree que funcionan como depósito de palabras. Se realizó una segunda resección en función de estos hallazgos. La paciente no experimentó afasia postoperatoria y hasta la fecha no ha vuelto a tener convulsiones.
Representación tridimensional + Vista ortogonal
La representación de superficie y las vistas ortogonales pueden combinarse en un solo procedimiento. Esto nos permite observar la activación (o las lesiones) de la corteza y las estructuras profundas del cerebro. Se omite la filtración de activación. Puntos de referencia externos de la cabeza y el rostro también puede ayudar en la exploración quirúrgica.
Vista rostral superior izquierda

|
Vista posterior superior izquierda

|
La representación ortogonal y de la superficie del cerebro se observan en la orientación anatómica natural. Esto significa que las estructuras aparecen como si estuvieran ante la vista directa. Por esta razón, el hemisferio izquierdo aparece del lado derecho en la vista rostral superior izquierda y del lado izquierdo en la vista posterior superior izquierda. La imagen de RMf presentada aquí muestra una activación de la circunvolución angular observada en una tarea de decisión de lateralidad derecha-izquierda. El plano hemiaxial muestra la activación ubicada en la porción profunda del surco parietal izquierdo.
Caso 1
Niño diestro de 11 años de edad con epilepsia intratable y hemiparesia izquierda. Al paciente se le realizó un mapeo del lenguaje como parte de su preparación para la cirugía de epilepsia con una "tarea de fluidez semántica".

Representación tridimensional de superficie y vistas ortogonales. Las imágenes muestran la activación del área de Broca a lo largo de las pars orbitalis, triangularis y opercularis del hemisferio izquierdo. También se observa la activación en las áreas visuales, posiblemente relacionada con estrategias visuales. En algunas ocasiones, como en este caso, se observa la activación de los ganglios basales. La activación puede estar localizada en una imagen que incluye la corteza, la fisura silviana, la fisura calcarina, los ventrículos laterales y a lo largo de la línea media.
Caso 2
Niña diestra de 11 años de edad con epilepsia persistente intratable sometida a resección frontal izquierda parcial. La paciente fue sometida a un mapeo del lenguaje mediante RMf.
| Vista lateral izquierda |
Vista rostral superior izquierda
|
Estas imágenes complementan el caso 2 presentado en "Representación de superficie". La activación se obtiene con una tarea de "generación de verbos" en el área de Wernicke, no solo a lo largo de la superficie cortical sino de forma profunda a lo largo de las circunvoluciones.
Caso 3
Niño diestro de 13 años de edad con epilepsia del lóbulo temporal. Se detectó un oligodendroglioma multiquístico en el lóbulo temporal izquierdo (flechas negras). Se indicó una IRM para llevar a cabo un mapeo de las áreas del lenguaje antes de la resección quirúrgica.

Una IRMf tridimensional muestra la masa en el polo temporal izquierdo. La activación se obtuvo mediante un paradigma de "tarea de repetición" (burbujas de color amarillo, anaranjado y rojo). La relación entre la lesión y las áreas del habla se muestra magníficamente.
Caso 4
Voluntaria diestra de 19 años de edad que realiza un paradigma tipo Stroop. Esta tarea incluye inhibición, que es potencialmente útil en la evaluación del trastorno por déficit de atención (attention deficit hyperactivity disorder, ADHD).
Vista rostral derecha superior

La activación está ubicada en la circunvolución del cuerpo calloso derecho inferior frontal y la circunvolución supramarginal (burbujas rojas). La burbuja azul ubicada en el polo frontal derecho corresponde a las áreas inhibidas. La combinación de planos ortogonales, axiales y sagitales permite una presentación simultánea.
Representación triple
El neurocirujano tiene una vista restringida del cerebro a través de la pequeña ventana de la craneotomía. Las técnicas de obtención de imágenes neurológicas modernas pueden mostrar la anatomía en tres dimensiones, y en una ventana mucho más grande.
Caso 1
Mujer diestra de 27 años de edad sometida a IMR y VRM para descartar una lesión estructural. La paciente se ofreció voluntariamente para realizar una tarea de generación de verbos.
Imagen de representación triple. Vista lateral izquierda de IRM, VRM e IRMf

La imagen muestra la fusión de los tres procedimientos diferentes. La representación volumétrica del cerebro obtenida de la secuencia de IRM se observa en una escala de grises. La imagen de las venas superficiales y el seno del hemisferio izquierdo obtenida mediante la VRM se observan en color azul. La activación obtenida de la secuencia ecoplanar usada para la IRMf se muestra en color amarillo y rojo.
Caso 2
Niña diestra de 15 años de edad con convulsiones sensoriales motoras parciales que involucran la mano izquierda desde los 5 años de edad. La IRM mostró una anomalía de señal focal en la circunvolución postcentral derecha como consecuencia de un tumor en desarrollo sin cambios durante un período de 2 años.
Vista de representación triple sagital media superior

La IRM del cerebro aparece en una escala de grises, la activación por RM funcional se muestra en amarillo y rojo, el tumor se ve de color púrpura (flecha celeste) y las venas, de color azul. El tumor aparece localizado en la circunvolución postcentral de forma lateral y rostral con respecto a la activación funcional. La relación entre el tumor y la activación funcional fue confirmada durante el mapeo intraoperativo con el paciente despierto. Los puntos de referencia venosos proporcionaron información útil al cirujano que realiza la intervención. Se extirpó el tumor de la paciente sin monoplejia residual. La paciente solo presentó pérdida temporal de estereognosis y propiocepción relacionada con el tercer, cuarto y quinto dedo, después de la cirugía.
Caso 3
Joven diestro de 17 años de edad con epilepsia motora parcial intratable. La IRM mostró anomalía de señales en la circunvolución frontal media izquierda compatible con displasia cortical.
Representación triple: IRM (T1), IRM-FLAIR e IRMf.
Vista rostral superior izquierda

IRM de la cabeza con exposición parcial del cerebro y el cráneo. Una vista axial localizada en el tercio superior de la circunvolución frontal inferior muestra, en rojo, la activación obtenida con una tarea de generación de verbos. El punto amarillo representa la lesión y se deriva de una secuencia de recuperación de la inversión atenuada por líquido (fluid attenuated inversion recovery, FLAIR) y, presentado con el resto de las imágenes, revela la relación entre la lesión y las áreas elocuentes.