Aplicaciones y Usos

Planeamiento Prequirúrgico

A veces es muy importante saber cuáles funciones cerebrales se encuentran en las inmediaciones de una lesión, particularmente si esa lesión va a ser extirpada quirúrgicamente. En lesiones formadas antes del nacimiento, como ciertas anomalías de los vasos sanguíneos y algunos tumores, las áreas del lenguaje y otros procesos mentales pueden estar desplazadas. La Resonancia Magnética Funcional muestra el sitio donde están localizadas estas funciones y las distancias a centros críticos de proceso mental. Por ejemplo:

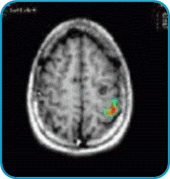
En la imagen izquierda hay un pequeño quiste en el hemisferio izquierdo (nótese en el lado derecho del cerebro como un redondel negro). Esta lesión producía convulsiones. El cirujano necesitaba saber qué parte de la corteza estaba a cargo del movimiento de la mano. Con movimientos alternos de los dedos, esta imagen de resonancia magnética funcional muestra a color el área usada para el movimiento de los dedos de la mano derecha. Esto le permite al cirujano extirpar la lesión sin afectar el movimiento de la mano.

 


 

Mapeo del Lenguaje

Las funciones cerebrales pueden dividirse en básicas y complejas. Las funciones básicas requieren pocas áreas de la corteza, mientras que las funciones complejas pueden esparcirse por uno o ambos hemisferios. Las funciones básicas se muestran invariablemente en el mismo lugar en diferentes personas, mientras que las funciones complejas tienden a variar de persona a persona. El lenguaje es una función compleja típica. En la mayoría de las personas, el lenguaje está representado en el hemisferio izquierdo; aunque es completamente normal encontrarlo en el hemisferio derecho o dividido entre ambos. Antes de comenzar la cirugía del cerebro, es muy importante saber en qué lado está representado el lenguaje.

Este tipo de información es crucial en la cirugía de epilepsia, en la cual puede ser necesario extirpar parte del lóbulo temporal involucrado en la producción de convulsiones. El área de la cirugía se reduce o limita, si se determina que el lenguaje esta localizado en el lóbulo que se opera.

En el Nicklaus Children's Hospital, hemos comenzado a realizar Mapeo Cerebral con Resonancia Magnética Funcional para determinar el área del lenguaje en adultos y niños mayores de 7 años de edad.

 

 

Aplicaciones No-Quirúrgicas

La Resonancia Magnética Funcional tiene un alto potencial para proporcionar un entendimiento profundo de los trastornos neurológicos y psiquiátricos, siendo actualmente usada para investigar las apoplegías, migrañas y epilepsia. Este procedimiento también se ha usado en niños con trastornos del desarrollo, incluyendo el autismo, la dislexia y otros trastornos del aprendizaje. En la actualidad estamos realizando investigaciones en niños y lactantes bajo sedación, en los cuales ya hemos podido determinar activacion cerebral a pesar de la sedación.

Estas imágenes, por ejemplo, son de un niño de 2 anos de edad. Se llaman cortes coronales; en ellos la cabeza se ve en la parte superior y el cuello en la parte inferior. En su interior se ven los dos hemisferios cerebrales y debajo de ellos el cerebelo. El paciente fue sedado para someterse a un procedimiento regular, después del cual, se mostraron luces intermitentes por espacio de 3 minutos. La corteza visual, situada en los lóbulos occipitales, muestra activación representada en colores rojo y amarillo.

Se han obtenido también imágenes de activación en ninos sedados con voz materna, o estímulo sensitivo de la piel (frotando la mano, por ejemplo).

Uno de los propósitos futuros de la Resonancia Magnética Funcional es poder predecir los trastornos del desarrollo en niños pequeños a fin de porporcionarles tratamientos efectivos a una edad temprana.