Please follow the links below to learn more about Language Mapping.
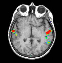
Auditory Verbal Activation
Passive listening to a story
Activation

Left supramarginal gyrus
Left > Right Heschl's gyri
Auditory Non-Verbal Activation
Passive hearing of plain music (Same technical settings)

Activation
Right > left Heschl's gyri
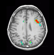
Phonological Fluency
| Subject |
Right handed, 37 year-old woman |
| Paradigm |
ON: Retrieving words starting with a given letter
OFF: Think of a dark sky |
| Statistics |
| Statistical method |
P Value |
Z score |
| Correlation coeficient |
0.0001 |
N/A |
|
| Images |
  |
| Activation |
This paradigm elicits activation of the superior aspect of Broca's and Brodman's 37 areas. Some activation appears in parasagital parietal areas. The color in the left pterional fossa is due to vascular inflow. |
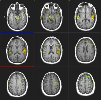
Semantic Fluency
| Subject |
Right handed, 25 year-old woman |
| Paradigm |
ON: Retrieving words within a given category
OFF: Think of a dark sky |
| Statistics |
| Statistical method |
P Value |
Z score |
| T-Test |
0.00005 |
4.2 |
|
| Images |
 |
| Activation |
The left hemisphere shows predominant activation. The following areas were activated: Broca's, left posterior portion of middle and inferior temporal gyri (Brodman's 37), left parietal and left premotor strip. Wide activation is seen in the inferior aspect of the occipital lobes. The main activation on the right is located in the inferior aspect of the frontal lobe (Brodman's 11), a finding consistently seen in this paradigm. |
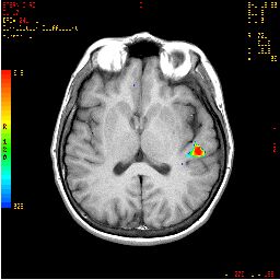
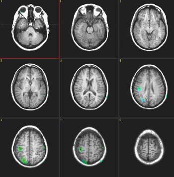
Fluency of Verbs
| Subject |
Right handed, 24 year-old woman |
| Paradigm |
ON: Generate verbs related to nouns (objects)
OFF: Count the letters of presented words |
| Statistics |
| Statistical method |
P Value |
Z score |
| T-Test |
0.0001 |
3.8 |
|
| Images |
 |
| Activation |
Broca's area and left SMA are depicted. Some activation appears in the left hippocampal formation and visual areas. This last activation could be explained as the effect of picturing the objects given during the "ON" condition. There is also activation in the right cerebellum and left inferior temporal gyrus.
|
Automatic Speech
| Subject |
25 year-old woman. Right-handed Volunteer |
| Paradigm |
ON: Saying mentally the pledge of allegiance
OFF: Think of a dark sky |
| Statistics |
| Statistical method |
P Value |
Z score |
| T-Test |
0.0002 |
3.7 |
|
| Images |
 |
| Activation |
Oral and facial motor strip, greater on the right. Right parietal lobe. No activation is seen in Broca's area |
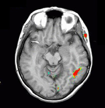
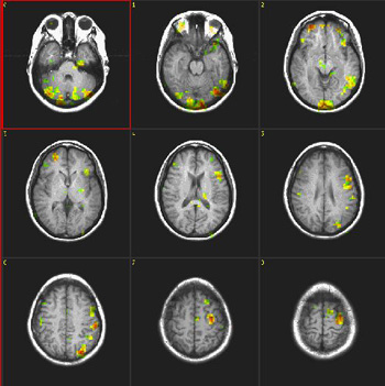
Verbal Comprehension
| Subject |
Right-handed volunteer, 32 year-old-man |
| Paradigm |
ON: Listening to a story
OFF: Concentrate on the back ground noise |
| Statistics |
| Statistical method |
P Value |
Z score |
| T-Test |
0.0001 |
3.8 |
|
| Images |
 |
| Activation |
Left hemisphere activation is clearly greater. The activation is in the following areas: Broca's (image 5), Wernike's (images 4 and 5), left supramarginal gyrus (heteromodal associative area, in image 5), left motor and premotor strip. The primary auditory areas are also activated predominantly on the left. |
Studies in Late Bilinguals
| Subject |
Right handed 34 year-old-woman. Native language: Spanish
|
| Paradigm |
Type: Verbal fluency task
ON: Retrieve verbs related to presented nouns
OFF Spell given words |
| Statistics |
| Statistical method |
P Value |
Z score |
| T-Test |
0.0001 |
3.8 |
|
| Images |
Spanish

|
English

|
|
| Activation |
There is activation of Broca's area in both languages. The right thalamic activation is noted only in the second language. There is also greater activation of the right inferior frontal gyrus in the second language than in the mother language. SMA is more pronounced on the right in both languages. |