fMRI Clinical Cases

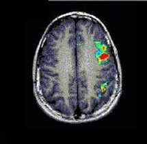
Case 1

brain scan
Patient Female patient, age 19. Presurgical demonstration of eloquent areas
Paradigm Phonetic fluency
ON: Silent word generation starting with a given letter
OFF: Think of nothing
Results Activation of middle and inferior left frontal gyri, precentral left cortex, left angular gyri, and scattered areas in the parietal lobes.
Comments The main activated area in this phonetic fluency task is the superior aspect of the left inferior frontal gyrus.   In contrast, the main area of activation on tasks requiring generation of verbs is the inferior aspect of Broca's area, along with the anterior insula.

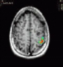
Case 2

brain scan
Patient Male patient, age 13. Presurgical mapping of eloquent areas.
Paradigm Phonetic fluency
ON: Silent word generation starting with a given letter
OFF: Think of nothing
Results Strong activation in left middle and inferior frontal gyri, and left postcentral sulcus.   There is no significant activation in the right hemisphere

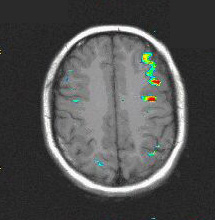
Case 3

brain scan
Patient Male patient, age 14, with seizures
Paradigm Tapping task
ON: Alternating Finger Tapping with the right hand
OFF: Think of nothing
Results Cortex of the left central sulcus was strongly activated. The relation to the tumor is clearly depicted by the images.
Comments The tumor was resected without postoperatory motor deficit

Case 4

brain scan
Patient Male patient, 9 years old with a neoplastic lesion in the left sylvian fissure. No language deficit
Paradigm Verbal fluency task
ON: Think of actions related to given nouns
OFF: Think of nothing
Results

Obvious left language dominance.
Broca's area is well depicted along with left superior frontal gyrus.
Activation in the right cerebellum has been described associated with expressive language tasks.
A Case of Acalculia.